Logo Sciencesconf

Welcome to the TANGO Symposium 2026

About the symposium
The thalamus is no longer just a relay — it is a dynamic hub shaping cognition, regulating cortical circuits, and offering a powerful target for neurological and psychiatric disorders.
The TANGO Symposium brings together researchers from computational neuroscience, MRI physics, biomedical engineering, and clinical neurology around a shared fascination: the thalamus. TANGO 2026 will explore thalamic function in health and disease, with a particular emphasis on connectivity and translational applications.
Thalamic tractography
 
Focus on the thalamus
The thalamic hub
Located at the geometric center of the brain, the thalamus sits at the crossroads of nearly every major neural circuit — a convergence point for sensory, motor, limbic, and cognitive pathways.
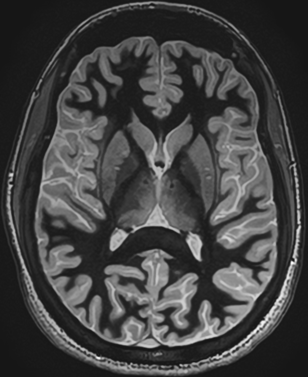
MRI brain full
 
White-Matter-Nulled MPRAGE
MRI thalamus zoom
Thalamic region · zoom
 
Thalamic histology
Thalamic histology
The program
Keynotes, invited talks & short talks
The program features keynote lectures, invited talks, and abstract-selected short talks, with dedicated space for early-career researchers — fostering the kind of multi-disciplinary dialogue that moves the field forward.
View program ↗
 
Call for abstracts
Abstract submission is open
Deadline: May 4, 2026 EXTENDED  ·  Notification: May 12, 2026
Submit an abstract
megaphone
 
Join us in Bordeaux.
June 14, 2026 · Auditorium Broca · Campus Carreire
Register now ↗
Bordeaux

About TANGO

The Thalamic Nuclei Neuroimaging Group (TANGO) is an international, multidisciplinary consortium of researchers united by a shared goal: to advance the accuracy, reliability, and clinical utility of thalamic nuclei segmentation in neuroimaging. TANGO brings together expertise spanning neuroimaging methodology, neuroanatomy, neuroradiology, and clinical neuroscience, and is committed to open science, methodological standardization, and community-driven progress.
🌐 thalamicsegmentation.github.io
Loading... Loading...